WORKSHOP AVANZADO

REGENERACIÓN ÓSEA GUIADA CON BARRERAS DE ZIRCONIO

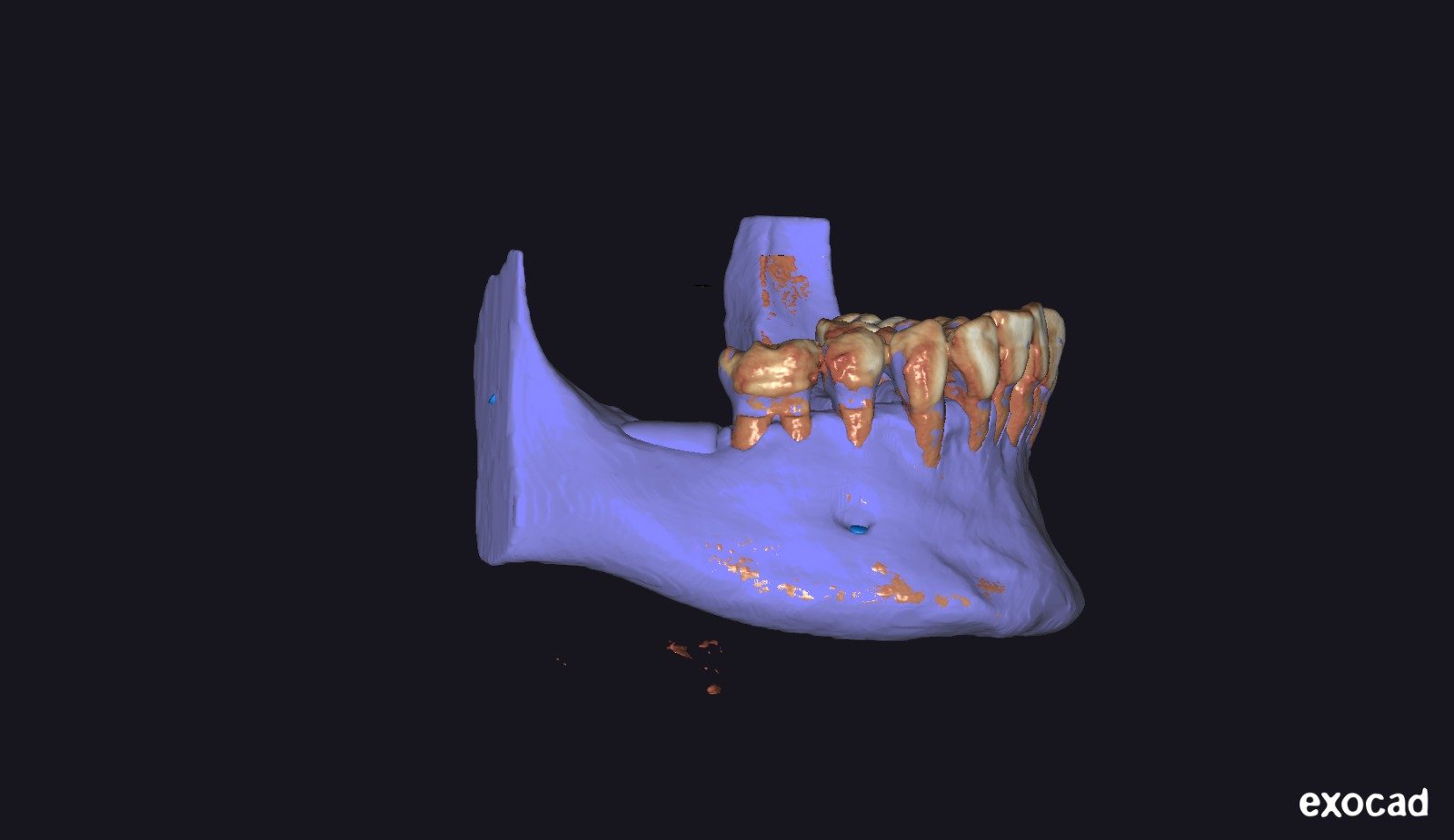
Protocolo Digital Integral de Diseño y Ejecución Quirúrgica

DICTANTE

Od. Lucas Loyola

Con la colaboración del Dr. Perez Giugovaz

MODALIDAD

Presencial en Valencia

DURACIÓN

2 jornadas intensivas

NIVEL

Avanzado

PRÓXIMA FECHA DE INICIO​

WORKSHOP AVANZADO

05 Jun 2026

¿A QUIÉN ESTÁ DIRIGIDO?

Este curso está diseñado para odontólogos que buscan dominar una técnica avanzada, predecible y basada en un flujo digital propio para la regeneración ósea guiada (ROG), utilizando barreras de zirconio personalizadas.

PRESENTACIÓN

Este curso está diseñado para odontólogos que buscan dominar una técnica avanzada, predecible y basada en un flujo digital propio para la Regeneración Ósea Guiada (ROG) utilizando barreras de zirconio personalizadas. La propuesta ofrece una mirada moderna y clínicamente sólida, alineada con la evolución de la odontología digital y la necesidad actual de lograr procedimientos más controlados y biológicamente respetuosos.

El contenido académico se basa en un protocolo digital desarrollado por el dictante, el Od. Lucas Loyola, fruto del análisis crítico de la literatura y la adaptación de herramientas digitales al contexto quirúrgico real. Este sistema integral abarca desde el diagnóstico tomográfico avanzado y el diseño CAD realizado por el propio cirujano, hasta la ejecución quirúrgica y el control sistémico del paciente.

Más allá de la técnica, el enfoque busca la construcción de un sistema reproducible y adaptable a diferentes realidades clínicas. El objetivo es que el cursante recupere el control total del procedimiento, reduciendo complicaciones y tiempos quirúrgicos, para planificar, diseñar y ejecutar regeneraciones óseas verticales y horizontales con un alto grado de previsibilidad.

INFORMACIÓN GENERAL

Modalidad: Presencial, en nuestra sede en Valencia, España (calle Colón, 14).

Duración: 2 jornadas intensivas, de 10 a 18 h. 

Participantes: mínimo 6*, máximo 12.

Dirigido a: Odontólogos con interés en regeneración ósea guiada, implantología y flujos digitales aplicados a cirugía regenerativa.

Fechas: 5 y 6 de junio.

 
*En caso de no contar con el cupo mínimo de participantes, el inicio se pospone para la siguiente reunión programada. 

OBJETIVO

Capacitar al odontólogo para diagnosticar, planificar, diseñar y ejecutar regeneraciones óseas guiadas verticales y horizontales mediante un protocolo digital propio con barreras de zirconio personalizadas, integrando fundamentos biológicos, tecnología CAD-CAM, técnica quirúrgica avanzada y control sistémico del paciente.

Al finalizar el curso, serás capaz de:

  • Comprender en profundidad los principios biológicos que sustentan la regeneración ósea guiada.

  • Seleccionar correctamente los casos indicados para ROG con barreras de zirconio, interpretando estudios tomográficos con enfoque regenerativo.

  • Diseñar y planificar barreras de zirconio personalizadas desde el defecto óseo real del paciente.

  • Ejecutar la técnica quirúrgica paso a paso con mayor previsibilidad, planificando la fijación y estabilidad mecánica.

  • Reducir complicaciones y tiempos quirúrgicos, integrando biología, tecnología y clínica en un protocolo propio.

  • Integrar suplementación y control sistémico para optimizar los resultados regenerativos.

TEMARIO

  • Principios biológicos de la regeneración ósea.

  • Cicatrización ósea y tisular: fases, tiempos y factores críticos.

  • Importancia de la estabilidad del coágulo.

  • Rol del espacio, la angiogénesis y la exclusión celular.

  • Revisión y análisis de los principios PASS aplicados a ROG.

  • Diferencias biológicas entre membranas reabsorbibles, no reabsorbibles y barreras rigidas.

  • Indicaciones reales de ROG vertical y horizontal.

  • Evaluación clínica integral del paciente. 

  • Diagnóstico tomográfico (CBCT): lectura enfocada en regeneración ósea. 

  • Análisis del defecto óseo: tipo, morfología y severidad. 

  • Indicaciones y contraindicaciones para el uso de barreras de zirconio. 

  • Selección adecuada del paciente: factores locales y sistémicos. 

  • Planificación del caso desde el resultado protésico. 

  • Errores frecuentes en la selección del caso y cómo evitarlos.

  • Introducción al flujo digital en ROG.

  • Integración de archivos DICOM, STL y PLY.

  • Software utilizados en el protocolo:

    • BlueSkyPlan: diagnóstico, segmentación y análisis del defecto.

    • Exoplan / Exocad: diseño digital aplicado a la regeneración.

    • Meshmixer: ajustes, correcciones y optimización del diseño.

  • Segmentación ósea y dental.

  • Generación del defecto virtual.

  • Control tridimensional del volumen a regenerar.

  • Ventajas del diseño realizado por el propio cirujano.

  • Concepto de barrera personalizada.
  • Principios de diseño biomecánico.
  • Espesor, extensión y bordes de la barrera.
  • Diseño pasivo y adaptación milimétrica.
  • Planificación de tornillos de fijación:
    • Número
    • Posición
    • Angulación
  • Relación barrera hueso – tejidos blandos.
  • Errores de diseño más frecuentes y cómo evitarlos.
  • Comparación con técnicas tradicionales.
  • Opciones de fabricación: fresado vs impresión.
  • Materiales utilizados.
  • Control de calidad del diseño final.
  • Ajustes prequirúrgicos.
  • Esterilización y preparación para cirugía.
  • Checklist preoperatorio específico para barreras de zirconio.
  • Preparación del campo quirúrgico.
  • Diseño de colgajos para ROG vertical.
  • Manejo de tejidos blandos.
  • Decorticalización y preparación del lecho receptor.
  • Obtención de hueso autólogo
  • Manejo de biomateriales.
  • Colocación de la barrera de zirconio.
  • Fijación: secuencia correcta de atornillado.
  • Control de estabilidad primaria.
  • Cierre por planos y manejo de la tensión.
  • Claves quirúrgicas para minimizar complicaciones.
  • Suturas.
  • Exposición de la barrera: causas y prevención.
  • Infecciones.
  • Dehiscencias.
  • Movilidad de la barrera.
  • Manejo clínico según el momento de aparición.
  • Cuándo intervenir y cuándo observar.
  • Análisis de casos reales.
  • Importancia del estado sistémico del paciente.
  • Relación entre nutrición, inflamación y regeneración ósea.
  • Suplementación estratégica pre y post quirúrgica.
  • Protocolos de apoyo para optimizar resultados regenerativos.
  • Integración del enfoque biológico al protocolo quirúrgico.
  • Tiempos de cicatrización.
  • Evaluación clínica y tomográfica del hueso regenerado.
  • Retiro de la barrera.
  • Planificación implantológica posterior.
  • Errores a evitar en la fase de reentrada.
  • Continuidad protésica del caso.
  • Presentación de casos clínicos completos.
  • Análisis crítico paso a paso.
  • Discusión abierta con los cursantes.
  • Adaptación del protocolo a diferentes realidades clínicas.
  • Cómo incorporar la técnica en la práctica diaria.

Al finalizar el curso, el odontólogo será capaz de:

  • Seleccionar correctamente los casos.
  • Diseñar y planifi car barreras de zirconio personalizadas.
  • Ejecutar regeneraciones óseas con mayor previsibilidad.
  • Reducir complicaciones y tiempos quirúrgicos.
  • Integrar biología, tecnología y clínica en un protocolo propio.

DOCENTES

Od. Lucas Loyola
Dictante

Doctor en Odontología
dr.lucasloyola@gmail.com

Dr. Marcelo Gabriel Perez Giugovaz
Director

Especializado en prótesis e implantes y en odontología digital sobre sistemas de impresión 3D, sistemas CAD CAM y cirugía guiada.

Dra. Giugovaz Adriana Lorena
Coordinadora

info@perezgiugovaz.com

INCLUYE*

  • Almuerzo y coffee break. 
  • Materiales para las prácticas del workshop.
  • Opcional: certificado Universitario emitido por el Posgrado en Odontología de la Universidad Católica San Antonio de Murcia (UCAM-PGO).

PAGO Y RESERVA

Para inscribirse, deberá comunicarse a través de nuestro formulario de contacto o por correo electrónico a info@perezgiugovaz.com. Le brindaremos la información sobre el importe, formas y vías de pago disponibles.

El pago se puede realizar a través de:

  • Transferencia bancaria. 
  • Western Union.
  • PayPal

UBICACIÓN

Sede VALENCIA

Dirección: Carrer de Colón, 14, Entresuelo B, Ensanche, 46004 Valencia, España
Teléfono:
+34 634 69 61 26
Horario de atención: 09 a 18 hs
Email: info@perezgiugovaz.com

¿Te interesa este curso?

Si queres conocer mas sobre nuestros cursos, productos o servicios dejanos un mensaje y te enviaremos toda la información.

Consultar
precio

TAMBIEN TE PUEDE INTERESAR